医疗技术丨八旬高龄+严重骨质疏松+多节段脊柱骨折,还能做脊柱大手术吗?


近日,我院脊柱外科成功为一名81岁高龄、合并帕金森病的严重骨质疏松伴多节段脊柱骨折患者,实施了“脊柱后凸截骨矫形+长节段骨水泥钉内固定术”,术后患者恢复良好,腰背痛明显缓解,从卧床到自行下地行走,生活质量显著提升。


患者入院情况
“没想到,没摔没碰,这腰背痛了一年多,最后连路都走不了了……”说起吴婆婆的经历,家属仍心有疑虑。81岁的吴婆婆(化名)一年前开始出现腰背痛,当时在老家当地医院检查,发现腰1椎体骨折。当时采取了卧床、支具固定、抗骨质疏松等保守治疗。然而,疼痛症状并未根除,反而在反复中逐渐加重。
三个月前,吴婆婆的腰痛突然加剧,如同针刺,连起床、站立都变得异常困难,日常生活受到严重影响,家人意识到问题的严重性,来我院脊柱外科门诊找到了彭旻副主任寻求进一步治疗。


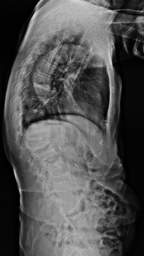
胸腰椎MRI检查结果显示:腰1椎体新近压缩性骨折伴积气,继发椎管狭窄;腰2、3椎体及腰4椎体上缘新近骨折。


影像学结果明确了患者为“骨质疏松伴多节段病理性骨折”,并伴有明显的脊柱后凸畸形和腰椎不稳。骨密度检测T值-4.25,提示重度骨质疏松。

影像学检查提示多节段脊柱病变
接诊后,科室为吴婆婆安排了详细的影像学检查,结果令人震惊。磁共振显示,她的骨折远非此前所知的一处,骨折下方的三节椎体腰2至腰4多个椎体都出现了新鲜压缩性骨折。更关键的是,最初的腰1椎体骨折并未愈合,属于“骨折不愈合”状态,并在重力作用下逐渐塌陷,导致脊柱后凸畸形(俗称“驼背”)。
彭旻副主任医师解释:这正是老年骨质疏松性脊柱骨折的典型困境。由于骨骼质量差、血供不足,保守治疗下骨折端难以形成有效骨痂,“骨折不愈合”发生率高。不愈合的椎体无法支撑体重,会不断塌陷,不仅引起持续疼痛,还会导致脊柱后凸畸形,改变人体脊柱矢状位平衡,极大增加相邻椎体发生再次骨折的风险,形成恶性循环。

多学科协作制定手术方案
考虑到患者高龄、合并帕金森病、骨质疏松严重,传统保守治疗难以缓解症状且存在长期卧床风险,脊柱外科彭旻副主任团队经全面评估,决定为吴婆婆手术治疗。虽存在一定手术风险,但经麻醉科、神经内科、心血管内科、呼吸内科、ICU等多学科会诊,认为手术可行且必要。护理团队为助力吴婆婆快速康复,根据吴婆婆的具体情况,制定了全面的术前干预方案。该方案涵盖心理疏导、人文关怀、营养支持、肺功能康复训练、肢体功能锻炼以及家属同步健康教育等多个方面,为术后快速康复奠定了坚实基础。这种多学科协作的术前干预模式,正是实现快速康复理念的重要基础。




术前(左)和术后(右)对比: 术后脊柱后凸矫正,骨折椎体强化固定

手术过程顺利,术后快速康复,实现早期活动
彭旻副主任团队为吴婆婆成功实施了 “后路脊柱后凸截骨矫形、骨水泥钉内固定、后外侧融合术”。术后,在加速康复理念的指导下,吴婆婆恢复顺利,腰背部疼痛显著缓解,术后第二天即可在支具保护下坐起,并逐步开始下地站立行走,避免了长期卧床带来的并发症。



手术亦是安心之选
本例高龄、合并帕金森病、多节段脊柱骨折患者的成功诊治,说明了高龄并不是手术“禁区”。即使高龄、合并多种基础疾病的患者,通过精准术前规划、微创手术技术与围术期多学科协作,也有机会通过手术重建脊柱稳定性,改善功能,提升生活质量。



家有一老,如有一宝
骨质疏松的老年人易发生脊柱骨折。一旦出现持续腰背痛、身高变矮、驼背等症状,应尽早就诊,明确诊断并接受规范治疗。也借此提醒广大老年朋友,骨质疏松是“静默的流行病”,一旦出现不明原因的腰背痛,需高度警惕椎体骨折的可能。对于已发生骨折且保守治疗效果不佳的患者,尤其是出现后凸畸形时,应尽早到正规医院脊柱外科就诊,评估手术可能性,避免陷入“屡次骨折、恶性循环”的困境。

账号+密码登录
还没有账号?
立即注册