医院新闻
-
2025年11月20日,广东省人民政府颁发了2024年度广东省科学技术奖。我院医学检验科孙卫民博士参与的项目《过敏性疾病的发生机制及新型防诊治方法》荣获科技进步奖二等奖,彰显了我院在医学科研领域的创新实力与卓越贡献。该项目由广州医科大学附属第二医院陶爱林教授团队牵头负责,我院作为第二完成单位共同完成。项目聚...2025-11-28 点击数:35
-
为响应广东省卫健委2025年“敬老月”号召,落实医院党委服务基层的部署,11月24日下午,在支部书记钟先荣的带领下,南方医科大学第七附属医院肝胆胰与甲乳疝科党支部组织前往贤僚村,与贤僚村党委联合举办“医暖重阳 健康护航”义诊活动,将专业医疗资源送到长者身边,以实际行动传递党组织的温暖与关怀。下午两点半,贤...2025-11-25 点击数:22
-
为深入推进高层次医学人才培养与科技创新工作,营造浓厚学术氛围,2025年11月21日,我院举办2025年度“南医在南海”学术交流活动之申报论道(第七场)。本次活动聚焦博士后人才引进与2026年度国家自然科学基金申报,通过博士后进站的专家评议与国家自然科学基金的申报辅导,为医院高质量发展注入新动能。学术活动邀请了...2025-11-24 点击数:27
-
为进一步巩固征文活动成果,营造崇尚学习、积极写作的浓厚氛围,有效提升干部职工的综合素养与宣传业务能力,11月19日下午,我院在行政办公区三楼会议室1成功举办了“提能力·强作风”职工征文活动表彰暨写作技能提升培训班。征文活动获奖者、各部门科室通讯员、各党支部宣传委员、管理职能部门相关人员以及对写作宣传感...2025-11-21 点击数:23
-
“不用排队挂号,在家门口就能见到大专家,免费看诊还能直接开处方,这样的活动太接地气了!”市民李阿姨举着中医调理处方连连称赞。11月16日上午,南方医科大学第七附属医院在门诊大厅举行“秋冬养身・健康守护”主题义诊活动。此次活动由我院多名专家组成义诊团队,旨在为市民提供专业健康评估及养身指导,在秋冬交替...2025-11-21 点击数:19
-
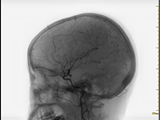
颅内动脉瘤,俗称“脑内不定时炸弹”,是脑动脉壁薄弱处鼓出的“小血泡”。它人群发病率高,绝大多数平时毫无症状,但一旦破裂,会导致致命的蛛网膜下腔出血。首次破裂死亡率高达30%-40%,幸存者中近半数会遗留偏瘫、认知障碍等严重残疾。其最大风险在于破裂出血,表现为突发的“雷霆样”剧烈头痛,具有极高致死率和致残...2025-11-20 点击数:21
-
2025年11月19日上午,南方医科大学第七附属医院精心组织医疗专家团队,前往里水镇鹤峰村开展以“医暖重阳 健康护航”为主题的“敬老月”义诊活动。此活动旨在积极响应全国“敬老月”卫生健康志愿服务活动号召,通过健康服务、人文关怀等形式,为老人们送去健康,切实提升老年群体的获得感、幸福感,营造关爱老年群体的浓...2025-11-20 点击数:10
-
近日,我院麻醉科顺利举办继续教育项目“超声引导神经阻滞在老年骨科患者围麻醉期的应用”学术活动,本次会议邀请到了省内外知名专家就老年麻醉以及超声应用等方面进行授课,内容丰富,紧贴临床实际。本次继教学习班由麻醉科黄金平主任主持,邱峰副院长参加开幕式并致欢迎辞。邱峰首先对出席本次会议的专家教授表示衷心...2025-11-17 点击数:15
-
喜讯传来!在近日举办的“第六届佛山市新生儿复苏技能比赛”中,我院新生儿复苏团队凭借出色表现,一举斩获一等奖,并以全场最高分摘得桂冠。这不仅是我院在该项赛事中的历史最佳成绩,更充分展现了我院产儿科团队在新生儿危重症救治领域的扎实功底与卓越水平。11月8日,佛山市妇幼保健院技能培训中心内气氛紧张而热烈。...2025-11-11 点击数:11
-
为隆重纪念中国人民抗日战争暨世界反法西斯战争胜利80周年,深入推进“能力作风建设年”和“医疗质量管理年”活动走深走实,进一步强化党员干部理想信念教育和爱国主义教育,近日,医院党委精心组织全体在职党员及中层干部分六批次约260人前往广东省档案馆,集中参观“旗展华南砥柱中流——华南人民抗战历史专题展”,在...2025-11-05 点击数:9

账号+密码登录
还没有账号?
立即注册